インビザラインブログ
こんにちは。スマイルプランオーク歯科クリニックに所属しています歯科衛生士のHASHIMOTOです。
私は、この度、ずっと悩んでいた矯正をすることに決めました?
今まで、なぜ矯正を躊躇していたかと言うと…
銀色の器具を付けるのが嫌。矯正って痛そう…歯磨きが難しくなりそう…など、マイナスなイメージが多く前歯が出っ歯なのが気になってはいたのですが、矯正に踏み切れずにいました。
そんなとき、マウスピース矯正インビザラインというものを知り、見た目も分からず、痛みも少なく、ご飯や歯磨きの際は今まで通り快適に過ごせるという情報を知り、是非やってみたいと思いました!
私の場合、歯を3本抜く必要があるので不安はあるのですが、前歯をなおせるのならとインビザラインを始めることにしました?
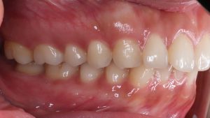
■ 治療前 正面からの写真

■ 治療前 右側面からの写真

■ 治療前 左側面からの写真

今後写真をのせて、経過をおっていこうと思いますので、矯正で悩まれてる方、ぜひ一緒に見ていってください✩.*˚
今回、歯を抜く前の写真と、インビザラインのマウスピースを作成する際お口の中をスキャンするのですがその時の写真を載せます?

スキャンしてすぐに、画像が確認でき、それを見て先生が説明してくれました!
画像があるのですごく分かりやすかったです?
