歯並びが気になるあなたへこんなお悩みございませんか?
当院は
インビザライン
(マウスピース矯正)で
あなたのお悩みを解決します!
【世界シェアNo.1】
全世界で
1,000万人以上が使用
- 目立たない
- 痛くない
- 取り外せる
インビザライン
(マウスピース矯正)とは
ワイヤーやブラケットを歯に固定させる矯正とは違い、自分で着脱が可能なマウスピース型の矯正装置です。厚みが薄く、色味は透明に近い装置なので、至近距離でも目立たず、矯正中であることが気づかれにくいのが大きな特徴です。今までワイヤーが気になって歯並び矯正ができなかった患者様にとってインビザラインは透明なマウスピース矯正なのでおすすめです。
対応可能な歯並びのケース
インビザライン(マウスピース矯正)は、多数の症例実績があるので、出っ歯・すきっ歯・デコボコ歯など様々な歯並びのケースに対応できます。
上記以外の歯並びでも対応できる可能性があります。
ぜひ一度ご相談ください。
まずは無料で
歯並び相談・
シミュレーション
をしませんか?
- 歯並び
無料相談 - 0円
- 歯並び
シミュレーション - 0円
当院では無料相談を
受けられた患者様に、
無料でアウトカムシュミレーターによる
歯並びシュミレーションを
受けていただくことができます。
通常インビザラインによる矯正治療を行う場合は、iTeroでスキャンしたデータをアラインテクノロジー社に送信し、担当医による指示のもと「クリンチェック」と言われる正確な治療シュミレーションを作成します。
アウトカムシュミレーターでの治療シュミレーションは、アラインテクノロジー社が蓄積した膨大なデータを基にAIが自動で作成する治療シュミレーションです。iTeroで歯のスキャンをしてわずか数分で治療シュミレーションが完成します。
ではこのAIが作成する治療シュミレーションの正確性はどれくらいでしょうか?
実際の患者さんのアウトカムシュミレーター(AIが作成)とクリンチェック(歯科医が作成)を比較してみたいと思います。
治療シュミレーションの
正確性を徹底検証!
歯科矯正を
はじめるための諸経費
0円
- 初回相談
- 無料
- シミュレーション
- 無料
| 初回相談 (口腔内視診のみ) |
0円 |
|---|---|
| 診断料 (検診、CT、iTero、クリンチェック) |
55,000円 |
| 調整料 | 0円 |
| 成人の矯正 (非抜歯)・ インビザライン(コンプリヘンシブ) |
月々8,700円(税込)〜 総額880,000円(税込)分割払いを詳しく見る |
| 成人の矯正 (抜歯)・ インビザライン (コンプリヘンシブ) |
月々9,300円(税込)〜 総額935,000円(税込)分割払いを詳しく見る |
| 成人の軽度な叢生・ インビザライン (ライト) |
月々4,300円(税込)〜 総額440,000円(税込)分割払いを詳しく見る |
| 6〜9歳までの Ⅰ期治療・ インビザライン (ファースト) |
月々4,900円(税込)〜 総額495,000円(税込)分割払いを詳しく見る |
| 前歯部のみの矯正・ インビザライン(GO) |
月々3,200円(税込)〜 片顎330,000円(税込)分割払いを詳しく見る |
月々4,300円(税込)〜 両顎440,000円(税込)分割払いを詳しく見る |
インビザライン(マウスピース矯正)
6つのオススメ
-
其の1目立たない
インビザラインは透明なプラスチック製のマウスピースを装着して治療していくので、治療中もほとんど目立ちませんので周りに気づかれにくいです。
-
其の2食事の時に取り外せる
マウスピース型の矯正治療なので、食事の時は取り外すことができます。ワイヤー矯正のように器具に食べ物が挟まることもありません。
-
其の3通院回数が少ない
1ヵ月~4ヵ月に一回のご来院で良いので、通常のワイヤー矯正に比べて通院回数が少なくてすみます。忙しい方も大丈夫です。
-
其の4様々な歯並びに対応
デコボコした歯並びや出っ歯、すきっ歯など様々な歯並びの改善に適用できます。部分的な矯正にもおすすめです。
-
其の5治療中の痛みが少ない
金属のワイヤーで歯をしめつけることがないので、通常の矯正に比べて痛みが少ないです。薄さも0.5mmなので違和感も少ないです。
-
其の6お手入れが簡単
マウスピースを取り外してそのまま洗えるので、お口の中をいつも衛生的に保つことができます。フロスなども通常と同じように使用できます。
シンプルで始めやすい
料金設定
- 初診相談
- 無料
- シミュレーション
- 無料
部分矯正
- Before
-
- After
-
見た目の印象を大きく変える
前歯上下6本ずつに特化
- 矯正期間
- 平均3ヶ月
全体矯正
- Before
-
- After
-
噛み合わせ含め奥歯
も対応/複雑な症例も可能
- 矯正期間
- 平均6ヶ月
お支払い方法
| クレジットカード | 各種カードをお取り扱いしております。 (VISA、Master Card、JCB、 American Express、 Diners Card、DCカード) 無利子の分割払いも可能です。 (2回払い、3回払い) お気軽にお問い合わせください。 |
|---|---|
| 分割払い (デンタルローン) |
120回までの分割払いが可能です。 お申し込みに際してはローン会社による審査が必要となります。 お気軽にお問い合わせください。 |
矯正治療は
医療費控除可能です
※所得金額の合計が200万円未満の人は、所得金額の5%になります。
矯正治療やセラミック治療、交通費も対象です
1年間に合計10万円以上の医療費をお支払いされた場合、確定申告を行っていただくことで、所得控除が受けられます。
※申告の際に領収書が必要となりますので大切に保管をお願いします
まずは無料で
歯並び相談・
シミュレーション
をしませんか?
- 歯並び
無料相談 - 0円
- 歯並び
シミュレーション - 0円
当院では無料相談を
受けられた患者様に、
無料でアウトカムシュミレーターによる
歯並びシュミレーションを
受けていただくことができます。
通常インビザラインによる矯正治療を行う場合は、iTeroでスキャンしたデータをアラインテクノロジー社に送信し、担当医による指示のもと「クリンチェック」と言われる正確な治療シュミレーションを作成します。
アウトカムシュミレーターでの治療シュミレーションは、アラインテクノロジー社が蓄積した膨大なデータを基にAIが自動で作成する治療シュミレーションです。iTeroで歯のスキャンをしてわずか数分で治療シュミレーションが完成します。
ではこのAIが作成する治療シュミレーションの正確性はどれくらいでしょうか?
実際の患者さんのアウトカムシュミレーター(AIが作成)とクリンチェック(歯科医が作成)を比較してみたいと思います。
治療シュミレーションの
正確性を徹底検証!
治療中・治療後も安心の
トータルフィー制度
誰でも
「安心して矯正治療を
始めてもらいたい」
だからこそ、治療後まで
見据えたプランをご提案。
-
- Point1
- 毎月の
調整料なし!
-
- Point2
- リテーナー
無料!
-
- Point3
- 無料カウンセリング
実施中!
-
Point1トータルフィー制度
当院では、「安心して治療を受けていただきたい」という思いから、トータルフィー制度を導入しています。
一般的に通院ごとに約3,000円〜6,000円ほどかかる調整料はいただいておりませんので、治療開始後に追加費用をお支払いいただく心配がございません。
※虫歯歯治療や歯周病治療、親知らずを抜歯する場合は別途費用がかかります。 -
Point2後戻り1年間保証制度
当院の矯正治療では、基本の治療プランに後戻りを防止するための1年間保証が含まれています。
治療終了後、1年間の保証期間内で発生したリテーナー(保定装置)の作製の費用はかかりません。 -
Point3無料カウンセリング・
無料シミュレーション当院では無料相談を受けられた患者様に、歯並びシュミレーションを受けていただくことができます。
矯正治療は、患者様の歯並びの一生を左右する大事な治療だと考えています。
だからこそ、「不安な事やご不明な点を解消していただきたい」という想いから無料で相談を行っています。
今なら
歯科矯正を
はじめるための諸経費
0円
- 初診料・相談料 無料
- シミュレーション料 無料
当院はプラチナ
プロバイダーの医院です
豊富な治療実績
だからこそ
患者様一人ひとりに合った
矯正治療をご提案できます。
インビザライン
プラチナプロバイダーとは?
年間50症例以上の治療実績に応じて、インビザライン社より認定いただける公式プロバイダー制度です。
無料相談から
治療開始までの流れ
-
Step1
お問い合わせ
適用可能な歯並びなのか?/出来るだけ早く治せないか?/気になる前歯だけ治したい/など、どんなお悩みでも構いませんので、まずはお気軽にお問い合わせください。
-
Step2
無料相談
治療への疑問などを伺いながら、従来の歯列矯正との比較、治療費の紹介、簡易シミュレーションまで行います。
-
Step3
精密検査
CT、レントゲン、歯型データを分析した上で治療計画を作成いたします。(治療決定ではありません)
-
Step4
シミュレーション
3Dデジタルシミュレーションをもとに、より正確な治療期間、治療後のイメージについて説明します。
-
Step5
治療開始
マウスピースを制作し、装着のつけ外しや取り扱い注意事項などを説明し、治療が始まります。
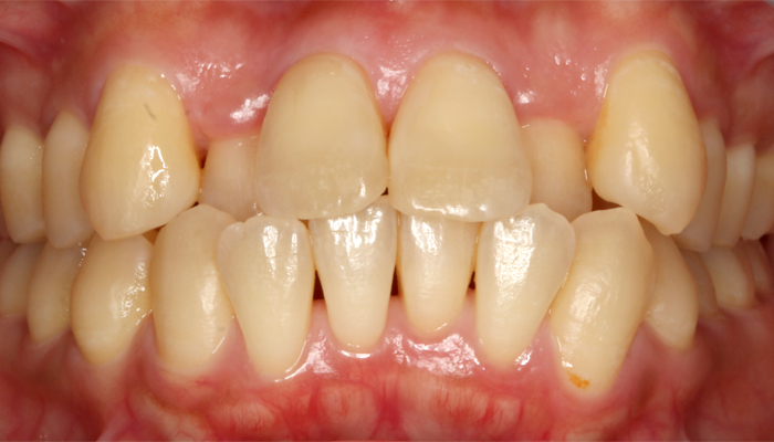
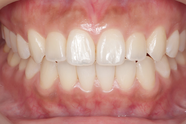
「治療前」と「治療後」
ただ歯を治すのではなく
根本的に改善するため
顎の位置から姿勢まで大きく
変わります。
でこぼこの歯並びを直したい
症例について詳しくみる
すきっ歯が気になる
症例について詳しくみる
出っ歯を直したい
症例について詳しくみる
対応可能な歯並びのケース
症例紹介ページはこちらインビザライン治療例
インビザラインで気になる
歯並びをキレイに
口ゴボを気になると来院されました。口元が出ているためインビザラインフルの抜歯ケースにて改善しました。途中アライナー(マウスピース)適合が甘くなったりしたため顎間ゴムを使用して改善しております。
詳しくみる
上下の前歯がガタガタして気になるとの事で来院されました。 全体の調整をする為に再スキャンを2回(無料)しています。 重度叢生の患者様でしたが、しっかりと通院してくれたので、主訴の前歯のガタガタが解消されて患者さんも大変満足していました。
詳しくみる
前歯のガタガタを気にして来院されました。インビザラインライトにて改善しました。途中アライナー(マウスピース)が少し適合が甘くなったので再スキャンを2回(2回目5万)しております。
詳しくみる
インビザラインでよくある質問
- 使用しているインビザラインのアライナー(マウスピース)は厚さが約0.5mmと薄い透明のプラスチックでできております。ですのでアライナーを装着していても気付かれることはほぼありません。
- インビザラインは1999年よりアメリカで販売が開始され、2006年より日本でも販売が開始されました。
これまでに世界100カ国以上、800万人を超える患者様が治療を受けられています。(2020年1月時点)
そのビックデータを解析することにより、より複雑なケースにおいてもインビザラインを用いて歯並び矯正が出来るようになってきました。ただ、インビザラインのみでは治らないケースもございますのでお気軽にご相談ください。(インビザライン歯並び相談無料)
- 叢生(歯のガタガタ)の程度にもよりますが、軽度であれば3ヶ月程で治ることがあります。
アライナー1枚で歯が移動する距離は最大で0.25mm動きます。治療開始から終了までAIが最短距離をたどるように設計します。
平均的な治療期間は1年から2年程になります。
- 基本的にご飲食以外の時は常時装着していただきます。(20~22時間)
それを怠ってしまうと予定通りに歯が動かなくなりますのでご注意下さい。ただし特別な行事などでは外していただいても構いません。終了後また装着して下さい。
- 食事をするときには外していただきますので特に制限はございません。
ただし、アライナーを装着したまま食事をしてしまうと変形したり、割れてしまうことがあるのでお控え下さい。
また、食事の後には必ず歯磨きを行い、お口の中を清潔にしてからアライナーの装着を行うようにして下さい。
装着したまま飲んでも良いものはお水のみになります。他の飲み物は着色や虫歯、変形の原因になりますのでお控え下さい。
- 基本的にはワイヤー矯正に比べて食べかすが挟まったり、歯磨きがしにくかったりすることが少ないので口腔清掃状態が良好な方は虫歯の心配はありません。
マウスピースを装着する際、歯磨きをしないまま装着してしまったりすると食べかすを閉じ込めることになるため虫歯のリスクは上がります。使用前はしっかり口腔内を清掃してくださいね。
- 歯が動き始める最初の方は違和感に近い痛みはあります。
また、マウスピースを外して食事した際も歯がやや揺れているため、強く噛むと痛みを感じることがあります。枚数を重ねていくうちに噛み合わせも安定して痛みもあまり感じなくなります。
- サ行やタ行など舌を歯に接して発音するものが初めは言いにくいと感じる方が多いようです。使用していくうちに話し方も慣れてくるので日常生活に支障が出ることは基本的にありません。
- 次のマウスピースが違和感なく装着できれば使用していただきます。うまく入らなければ再製料として5000円いただくこととなります。その際は次回来院時まで、1つ前のマウスピースを装着しておいてください。
また、咬む力が強くマウスピースが壊れてしまう方も稀にいらっしゃいます。その場合は使う日数を短くしたりして対応します。無くした場合も壊した場合も一度必ずご連絡ください。
- 一日22時間の装着、正しい口腔内清掃状態を維持していただければプランニング通りの理想的な歯並びになります。ご不安な点はいつでもご連絡ください。
大阪・兵庫に6医院展開する
スマイルプラングループに
お任せください
インビザライン専門ドクターが
あなたの素敵な笑顔を
プロデュースします!
2021年度
インビザライン
プラチナプロバイダー
に認定されました
インビザラインプラチナプロバイダーとは?
年間50症例以上の実績に応じて
インビザライン社より認定いただける
プロバイダー制度です
これからも多数の治療経験を生かし、
患者様それぞれに適した
矯正治療をご提案します。
インビザライン治療をご希望の方は
ぜひ一度当院にご来院ください。
-
- スマイルプラン
やまもと歯科クリニック院長 - 山本 恒一
- スマイルプラン
-
- スマイルプラン
歯科クリニック西宮院長 - 野口 陽平
- スマイルプラン
-
- スマイルプラン
さくら歯科クリニック院長 - 有田 昌慎
- スマイルプラン
-
- スマイルプラン
オーク歯科クリニック院長 - 井上 倭総
- スマイルプラン
-
- スマイルプラン
ホワイトベア歯科クリニック
なんば院長 - 西野 毅至
- スマイルプラン
-
- スマイルプラン歯科
クリニックOSAKA 院長 - 景山 祐杜
- スマイルプラン歯科




























