インビザラインブログ
こんにちは。
スマイルプランさくら歯科クリニック受付のFUJITAです。
私はインビザラインを3月から始めて、もうすぐで1年が経とうとしています。
最近よくDR、スタッフや患者様からも変化に気付いてもらえて、さらに実感しています。
私は今の段階では下顎より上顎の方が変化がわかります。
ただ、下顎も歯間ブラシがとおるほど隙間ができていて奥歯から順番に1歯ずつ隙間ができては狭まっての繰り返しをしています。
今32枚目なのですがどのあたりから下顎も変わっていくのかが楽しみです。
自分でマウスピース(インビザライン)を交換して、院長に定期的にチェックしてもらい調整してもらう流れで今行っています。
他のスタッフもマウスピース(インビザライン)をしているため同じ環境の仲間が増えてさらに当たり前の生活になりました。
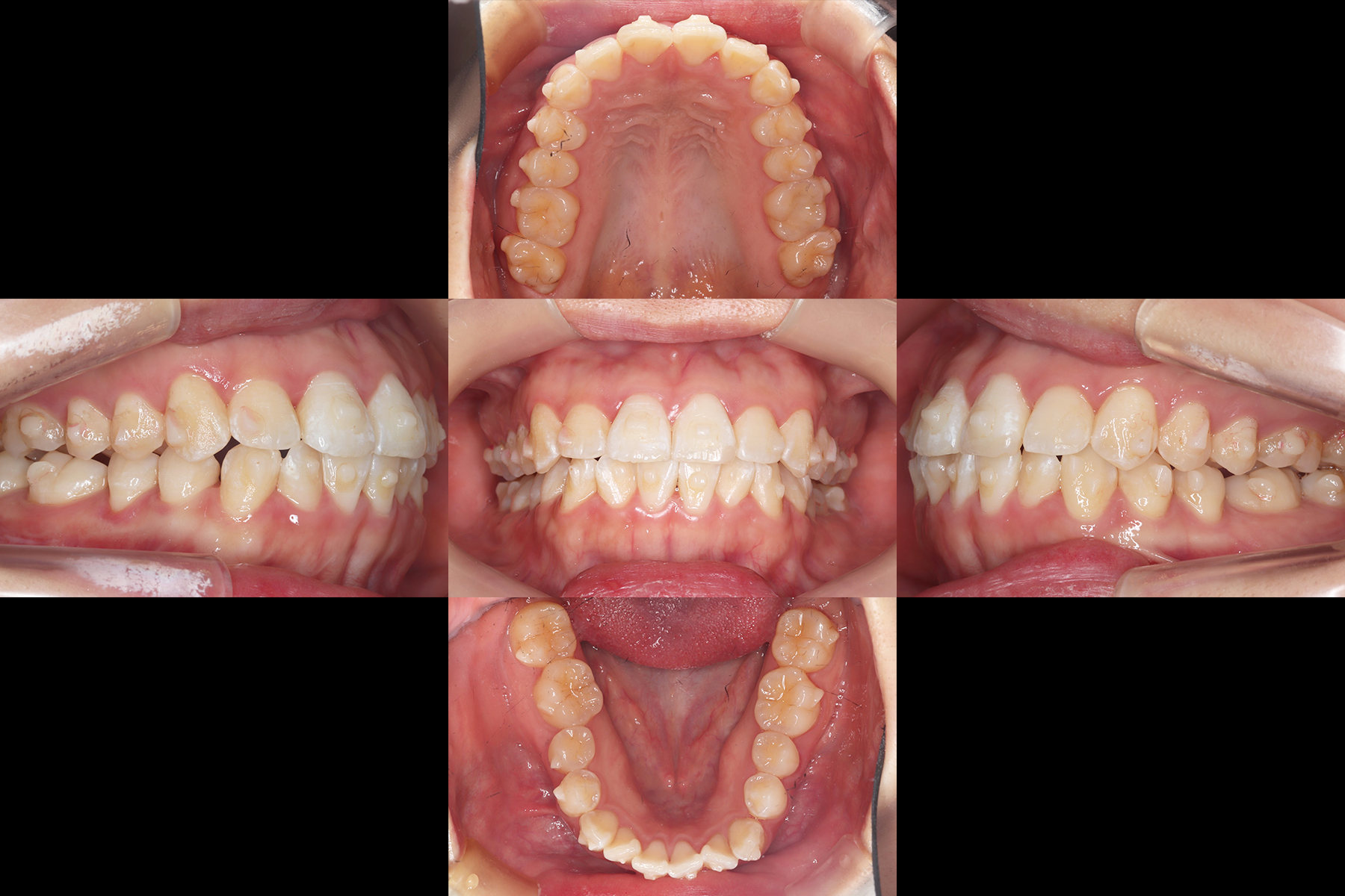
私の今の状態はこんな感じです。
■ インビザライン 矯正中 1年経過時点の歯並び

58枚まであと半分をきりましたが
またさらなる変化を楽しみに頑張ります!