インビザラインブログ
こんにちは。
スマイルプランさくら歯科クリニックの宮田です。
前回のブログでは、上下の歯の隙間がだいぶ狭くなってきました!とお伝えしました。
今回はまた違った角度での変化をお伝えできればと思っています。
まずは比較写真をお見せしますね。
こちらがbeforeです

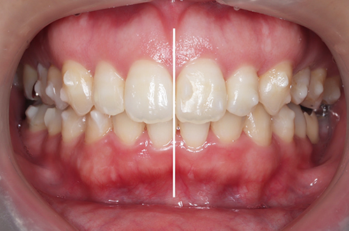
そして、こちらがafterです

一見何が変わっているのか分かりづらいでしょうか?
上下ともに一番中央の歯の間のことを「正中」というのですが、
本来ならばこの正中の位置が上と下で揃っていることが理想的なんです。
分かりやすく真ん中に縦の線を入れてみましたが、before写真をご覧いただくと私の
噛み合わせでは正中の位置が大きくズレているのがお分かりいただけるかと思います。
私の場合はこのインビザラインを始めるにあたって、左上の前から4番目の歯だけ抜歯しています。
そして、上の歯を奥に引っ込めるとともに少しずつ左側へズレるように計算されています。
ここでもう一度after写真を見ていただきます。

いかがでしょうか?
まだ完璧ではありませんが、見事に正中の位置が揃ってきていますよね!
このように、人によっては抜歯を1本だけして理想の歯列に近づける方法もあるのです。
もちろん無抜歯の方もいらっしゃいますし、
複数本抜歯が必要な方もいらっしゃるので、
悩まれている方はぜひご相談くださいね!
では、また次回のブログでも良い報告ができるように
頑張ります♫