インビザライン(マウスピース矯正)とは
無料で歯並びシミュレーション
インビザラインの6つの特徴
シンプルで始めやすい料金設定
無料相談から治療開始までの流れ
インビザライン治療例
よくある質問
大阪・兵庫に6医院展開
クリニック紹介
スマイルプランの治療方針
ワイヤー矯正と
インビザラインの違い
24時間ネット予約
HOME
症例
でこぼこの歯を治したい
症例
2023.4.20
でこぼこの歯を治したい
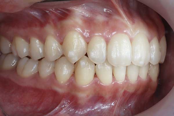
治療前
治療後
担当医
池畠 光朗
主訴
でこぼこの歯を治したい
期間
1年間
費用
インビザラインコンプリヘンシブ88万円(税込)
治療内容
準備中
治療に伴うリスク
準備中
前の記事:
口が閉まらないのを治したい
次の記事:
でこぼこの歯を治したい
関連ページ
口ゴボが気になる
前歯の歯並びが気になる
前歯のガタガタが気になる
歯のガタガタが気になる
歯のガタガタが気になる
前歯の歯並びが気になる
MENU
梅田院で
WEB予約する
なんば院で
WEB予約する
やまもと歯科で
WEB予約する
オーク歯科で
WEB予約する
高槻院で
WEB予約する
西宮院で
WEB予約する
電話予約
(無料のフリーダイヤル)
WEB予約
24時間受付中