インビザラインブログ
インビザラインで歯並び矯正
インビザライン治療例:全顎治療
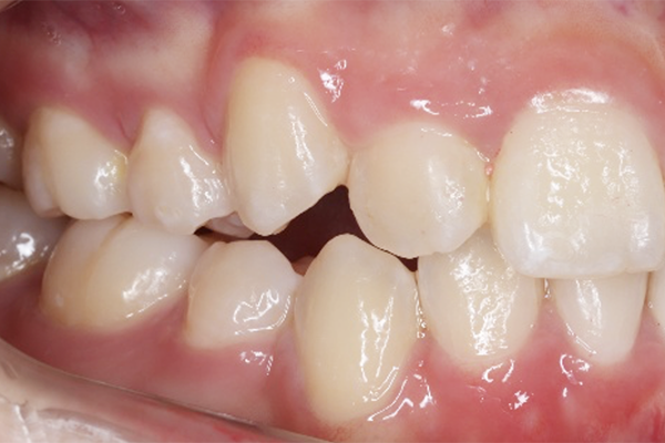
ワイヤー矯正をされていた患者様ですが、これ以上は治らないと言われたそうです。
口腔内を診てみると右側が八重歯の状態で、左側の噛み合わせももう少し治した方が良い状態でした。
そこでインビザラインフルにて改善しました。
途中アライナー(マウスピース)が少し適合が甘くなったので再スキャンを2回(無料)しております。
治療前
治療後






- 症例内容
-
医院名・担当医 スマイルプラン さくら歯科
クリニック/有田主 訴 ワイヤー矯正後の
歯並びが気になる。治療期間 約1年半 治療費 80万(インビザラインフル) 治療内容 ワイヤー矯正をされていた患者様ですが、これ以上は治らないと言われたそうです。口腔内を診てみると右側が八重歯の状態で、左側の噛み合わせももう少し治した方が良い状態でした。
そこでインビザラインフルにて改善しました。
途中アライナー(マウスピース)が少し適合が甘くなったので再スキャンを2回(無料)しております。治療のリスク 一定期間リテーナー(保定装置)をしていないと後戻りの可能性があります。