インビザラインブログ
前歯のをインビザラインでキレイに
インビザライン治療例:前歯のガタガタ
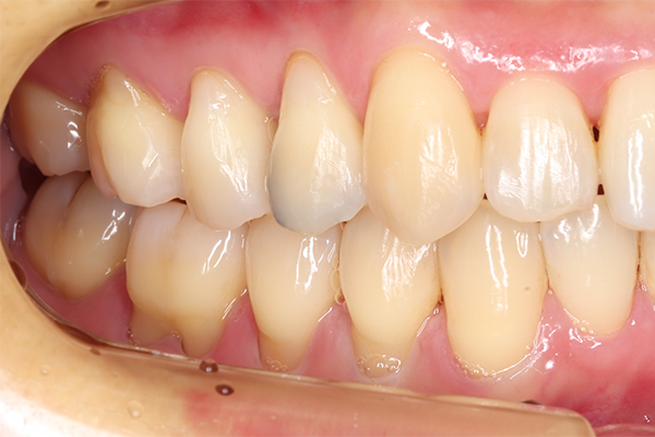
歯のガタガタと、上の前歯が下の前歯よりも後ろにあるのを気にされて来院されました。インビザラインフルにて改善しました。
途中アライナー(マウスピース)が少し適合が甘くなったので再スキャンを1回(無料)しております。
治療前
治療後






- 症例内容
-
医院名・担当医 スマイルプラン さくら歯科
クリニック/有田主 訴 歯のガタガタが気になる。 治療期間 約1年 治療費 80万(インビザラインフル) 治療内容 歯のガタガタと、上の前歯が下の前歯よりも後ろにあるのを気にされて来院されました。インビザラインフルにて改善しました。
途中アライナー(マウスピース)が少し適合が甘くなったので再スキャンを1回(無料)しております。治療のリスク 最低でも半年ほど保定装置を
していないと後戻りの可能性があります。