インビザライン(マウスピース矯正)とは
無料で歯並びシミュレーション
インビザラインの6つの特徴
シンプルで始めやすい料金設定
無料相談から治療開始までの流れ
インビザライン治療例
よくある質問
大阪・兵庫に6医院展開
クリニック紹介
スマイルプランの治療方針
ワイヤー矯正と
インビザラインの違い
24時間ネット予約
HOME
症例
出っ歯を治したい
症例
2023.4.20
出っ歯を治したい
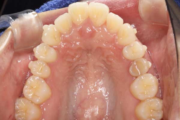
治療前
治療後
担当医
池畠 光朗
主訴
出っ歯を治したい
期間
8ヶ月
費用
440,000円(税込)
治療内容
準備中
治療に伴うリスク
準備中
前の記事:
すきっ歯を治したい
次の記事:
口が閉まらないのを治したい
関連ページ
前歯の歯並びが気になる
上の前歯が少し出ている
歯のガタガタが気になる
前歯のガタガタが気になる。
上下の前歯のガタガタが気になる
前歯をインビザラインでキレイに
MENU
梅田院で
WEB予約する
なんば院で
WEB予約する
やまもと歯科で
WEB予約する
オーク歯科で
WEB予約する
高槻院で
WEB予約する
西宮院で
WEB予約する
電話予約
(無料のフリーダイヤル)
WEB予約
24時間受付中