症例
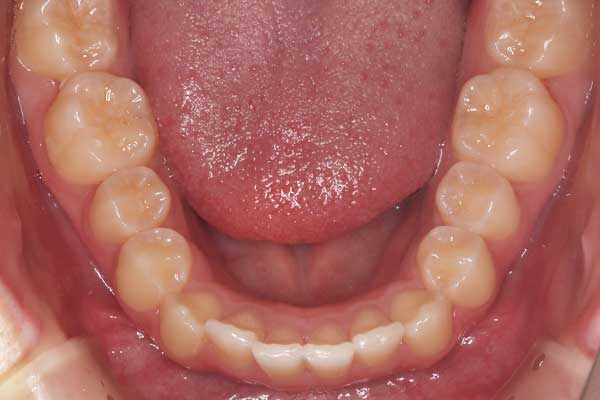
前歯のガタガタが気になる。
- 治療前

- 治療後

- 治療前

- 治療後

- 治療前

- 治療後

前歯のガタガタを気にして来院されました。インビザラインライトにて改善しました。途中アライナー(マウスピース)が少し適合が甘くなったので再スキャンを1回(無料)しております。
| 担当医 | 有田 |
|---|---|
| 主訴 | 前歯のガタガタが気になる。 |
| 期間 | 約半年間 |
| 費用 | 44万(インビザラインライト) |
| 治療内容 | 前歯のガタガタを気にして来院されました。インビザラインライトにて改善しました。途中アライナー(マウスピース)が少し適合が甘くなったので再スキャンを1回(無料)しております。 |
| 治療に伴うリスク | 最低でも半年ほど保定装置をしていないと後戻りの可能性があります。 |