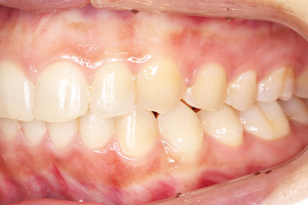
症例
八重歯をインビザラインでキレイに
- 治療前

- 治療後

- 治療前

- 治療後

- 治療前

- 治療後

| 担当医 | 有田 |
|---|---|
| 主訴 | 右上の少し八重歯と少しガタガタなのが気になる。 |
| 期間 | 約半年 |
| 費用 | 44万円(税込) |
| 治療内容 | 右上の犬歯が少し八重歯なのと、下の前歯が少しガタガタしているのを気にされて来院されました。インビザラインライトにて改善しました。1回再スキャン(無料)を行なっております。短期間で目立たずに綺麗になったと満足していただきました。 |
| 治療に伴うリスク | 最低でも半年ほど保定装置をしていないと後戻りの可能性があります。 |