症例
-
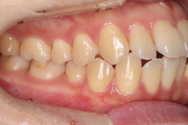
口ゴボが気になる
- 治療前

- 治療後

オーク歯科クリニック
概要を見る詳しくみる担当医 有田 昌慎 主訴 口ゴボが気になる 期間 約2年 費用 90万(インビザラインフル抜歯ケース) 治療内容 口ゴボを気になると来院されました。口元が出ているためインビザラインフルの抜歯ケースにて改善しました。途中アライナー(マウスピース)適合が甘くなったりしたため顎間ゴムを使用して改善しております。 治療に伴うリスク 最低でも矯正していた期間、保定装置をしていないと後戻りの可能性があります。 -
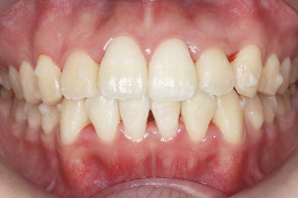
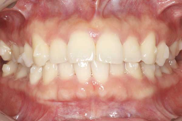
前歯の歯並びが気になる
- 治療前

- 治療後

ホワイトベア歯科クリニックなんば
概要を見る詳しくみる担当医 猪股 諒也 主訴 前歯の歯並びが気になる 期間 約2年 費用 80万円 (インビザラインコンプリヘンシブ) 治療内容 上下の前歯がガタガタして気になるとの事で来院されました。
全体の調整をする為に再スキャンを2回(無料)しています。
重度叢生の患者様でしたが、しっかりと通院してくれたので、主訴の前歯のガタガタが解消されて患者さんも大変満足していました。治療に伴うリスク 最低でも1~2年ほど保定装置をしていないと後戻りの可能性があります。 -
前歯のガタガタが気になる
- 治療前

- 治療後

スマイルプラン さくら歯科クリニック
概要を見る詳しくみる担当医 有田 昌慎 主訴 前歯のガタガタが気になる。 期間 約1年 費用 50万(インビザラインライト) 治療内容 前歯のガタガタを気にして来院されました。インビザラインライトにて改善しました。途中アライナー(マウスピース)が少し適合が甘くなったので再スキャンを2回(2回目5万)しております。 治療に伴うリスク 最低でも半年ほど保定装置をしていないと後戻りの可能性があります。 -
歯のガタガタが気になる
- 治療前

- 治療後

スマイルプラン さくら歯科クリニック
概要を見る詳しくみる担当医 有田 昌慎 主訴 歯のガタガタが気になる。 期間 約1年 費用 85万(インビザラインフル) 治療内容 前歯のガタガタを気にして来院されました。インビザラインフルにて改善しました。途中アライナー(マウスピース)が少し適合が甘くなったので再スキャンを2回(無料)しております。 治療に伴うリスク 最低でも半年ほど保定装置をしていないと後戻りの可能性があります。 -
歯のガタガタが気になる
- 治療前

- 治療後

スマイルプラン さくら歯科クリニック
概要を見る詳しくみる担当医 有田 昌慎 主訴 歯のガタガタが気になる。 期間 約1年 費用 85万(インビザラインフル) 治療内容 前歯のガタガタを気にして来院されました。インビザラインフルにて改善しました。途中アライナー(マウスピース)が少し適合が甘くなったので再スキャンを2回(無料)しております。 治療に伴うリスク 最低でも半年ほど保定装置をしていないと後戻りの可能性があります。 -
前歯の歯並びが気になる
- 治療前

- 治療後

ホワイトベア歯科クリニックなんば
概要を見る詳しくみる担当医 猪股 諒也 主訴 前歯の歯並びが気になる 期間 約12ヶ月 費用 80万円+tax (インビザラインコンプリヘンシブ) 治療内容 上下の前歯がガタガタしてる、回転しているのが気になるとの事で来院されました。
しっかりとマウスピースを付けてくれたので、プランニング通りに治療も進み患者さんも満足していました。治療に伴うリスク 最低でも1年ほど保定装置をしていないと後戻りの可能性があります。 -
上の前歯が少し出ている
- 治療前

- 治療後

ホワイトベア歯科クリニックなんば
概要を見る詳しくみる担当医 猪股 諒也 主訴 前歯が出ているのが気になる 期間 約4ヶ月 費用 40万円+tax (インビザラインライト) 治療内容 上の前歯が少し出ているのが気になるとの事で来院されました。
比較的短期間で主訴の前歯の出具合が解消されて患者さんも満足していました。治療に伴うリスク 最低でも半年ほど保定装置をしていないと後戻りの可能性があります。 -
前歯の歯並びが気になる
- 治療前

- 治療後

ホワイトベア歯科クリニックなんば
概要を見る詳しくみる担当医 有田 昌慎 主訴 前歯の歯並びが気になる 期間 約6ヶ月 費用 40万円+tax (インビザラインライト) 治療内容 上下の前歯がガタガタして気になるとの事で来院されました。
最後、前歯の微調整をする為に再スキャンを1回(無料)しています。
比較的短期間で主訴の前歯のガタガタが解消されて患者さんも満足していました。治療に伴うリスク 最低でも半年ほど保定装置をしていないと後戻りの可能性があります。 -
前歯の歯並びが気になる
- 治療前

- 治療後

ホワイトベア歯科クリニックなんば
概要を見る詳しくみる担当医 有田 昌慎 主訴 前歯の歯並びが気になる 期間 約10ヶ月 費用 80万円+tax (インビザラインコンプリヘンシブ) 治療内容 上下の前歯がガタガタしてる、凹んでいるのが気になるとの事で来院されました。
笑った時の見た目がコンプレックスとの事でした。
しっかりとマウスピースを付けてくれたので、
主訴の前歯のガタガタも解消され患者さんも満足していました。治療に伴うリスク 最低でも半年~1年ほど保定装置をしていないと後戻りの可能性があります。 -
歯のガタガタが気になる
- 治療前

- 治療後

オーク歯科クリニック
概要を見る詳しくみる担当医 有田 昌慎 主訴 歯のガタガタが気になる 期間 約1年 費用 80万(インビザラインフル) 治療内容 前歯が全体的に少し出ているのと下の前歯がガタガタなのが気になると来院されました。途中アライナー(マウスピース)が少し適合が甘くなったので再スキャンを2回(無料)しております。主訴が改善されて大変満足していただきました。 治療に伴うリスク 最低でも半年ほど保定装置をしていないと後戻りの可能性があります。 -
前歯が少しガタガタなのと隙間が気になる
- 治療前

- 治療後

オーク歯科クリニック
概要を見る詳しくみる担当医 有田 昌慎 主訴 前歯が少しガタガタ
隙間が気になる期間 約3ヶ月 費用 40万(インビザラインライト) 治療内容 前歯が少しガタガタしているのと上下間の隙間を気にされて来院されました。インビザラインライトにて改善しました。短期間で目立たずに綺麗になったと満足していただきました。 治療に伴うリスク 最低でも半年ほど保定装置をしていないと後戻りの可能性があります。 -
歯のガタガタが気になる・噛みにくい
- 治療前

- 治療後

スマイルプラン さくら歯科クリニック
概要を見る詳しくみる担当医 有田 昌慎 主訴 歯のガタガタが気になる。
噛みにくい。期間 約1年半 費用 88万(インビザラインフル) 治療内容 前歯がガタガタを気にしておられました。また、うまく噛み合っておらずお食事をし辛いとのことでした。インビザラインフルにて改善しました。途中アライナー(マウスピース)が少し適合が甘くなったので再スキャンを2回(無料)しております。 治療に伴うリスク 最低でも半年ほど保定装置をしていないと後戻りの可能性があります。 -
前歯のガタガタが気になる。
- 治療前

- 治療後

スマイルプラン さくら歯科クリニック
概要を見る詳しくみる担当医 有田 主訴 前歯のガタガタが気になる。 期間 約半年間 費用 44万(インビザラインライト) 治療内容 前歯のガタガタを気にして来院されました。インビザラインライトにて改善しました。途中アライナー(マウスピース)が少し適合が甘くなったので再スキャンを1回(無料)しております。 治療に伴うリスク 最低でも半年ほど保定装置をしていないと後戻りの可能性があります。 -
上下の前歯のガタガタが気になる
- 治療前

- 治療後

スマイルプラン さくら歯科クリニック
概要を見る詳しくみる担当医 有田 主訴 前歯のガタガタが気になる。 期間 約半年間 費用 44万(インビザラインライト) 治療内容 上下の前歯のガタガタを気にされて来院されました。インビザラインライトにて改善しました。途中に咬合状態の修正を行うために再スキャンを1回(無料)しております。 治療に伴うリスク 一定期間リテーナー(保定装置)をしていないと後戻りの可能性があります。 -
歯のガタガタが気になる
- 治療前

- 治療後

スマイルプラン さくら歯科クリニック
概要を見る詳しくみる担当医 有田 主訴 歯のガタガタが気になる。 期間 約1年間 費用 88万(インビザラインフル) 治療内容 子供の頃矯正をしていたが途中でやめてしまい、前歯のガタガタを気にして来院されました。インビザラインフルにて改善しました。途中アライナー(マウスピース)が少し適合が甘くなったので再スキャンを1回(無料)しております。 治療に伴うリスク 最低でも半年ほど保定装置をしていないと後戻りの可能性があります。 -
インビザライン前歯・すきっ歯をきれいに
- 治療前

- 治療後

スマイルプラン さくら歯科クリニック
概要を見る詳しくみる担当医 有田 主訴 前歯の隙間が気になる。 期間 約3ヶ月 費用 33万(インビザラインライト上顎のみ) 治療内容 上の前歯の隙間を気にされており、特に噛み合わせは問題なかったので上顎のみのインビザライン治療にて改善しました。治療期間も短く大変満足して頂きました。 治療に伴うリスク 最低でも半年ほど保定装置をしていないと後戻りの可能性があります。 -
インビザラインで全顎歯並び矯正
- 治療前

- 治療後

スマイルプラン さくら歯科クリニック
概要を見る詳しくみる担当医 有田 主訴 ワイヤー矯正後の歯並びが気になる。 期間 約1年半 費用 88万(インビザラインフル) 治療内容 ワイヤー矯正をされていた患者様ですが、これ以上は治らないと言われたそうです。口腔内を診てみると右側が八重歯の状態で、左側の噛み合わせももう少し治した方が良い状態でした。そこでインビザラインフルにて改善しました。
途中アライナー(マウスピース)が少し適合が甘くなったので再スキャンを2回(無料)しております。治療に伴うリスク 一定期間リテーナー(保定装置)をしていないと後戻りの可能性があります。 -
前歯をインビザラインでキレイに
- 治療前

- 治療後

スマイルプラン さくら歯科クリニック
概要を見る詳しくみる担当医 有田 主訴 歯のガタガタが気になる。 期間 約1年 費用 88万(インビザラインフル) 治療内容 歯のガタガタと、上の前歯が下の前歯よりも後ろにあるのを気にされて来院されました。インビザラインフルにて改善しました。
途中アライナー(マウスピース)が少し適合が甘くなったので再スキャンを1回(無料)しております。治療に伴うリスク 最低でも半年ほど保定装置をしていないと後戻りの可能性があります。 -
八重歯をインビザラインでキレイに
- 治療前

- 治療後

スマイルプラン さくら歯科クリニック
概要を見る詳しくみる担当医 有田 主訴 右上の少し八重歯と少しガタガタなのが気になる。 期間 約半年 費用 44万円(税込) 治療内容 右上の犬歯が少し八重歯なのと、下の前歯が少しガタガタしているのを気にされて来院されました。インビザラインライトにて改善しました。1回再スキャン(無料)を行なっております。短期間で目立たずに綺麗になったと満足していただきました。 治療に伴うリスク 最低でも半年ほど保定装置をしていないと後戻りの可能性があります。 -
気になる前歯の歯並びをインビザラインでキレイに
- 治療前

- 治療後

スマイルプラン さくら歯科クリニック
概要を見る詳しくみる担当医 有田 主訴 ワイヤー矯正後の歯並びが気になる。 期間 約1年半 費用 85万円(インビザラインフル抜歯ケース) 治療内容 前歯が出ているのが気になるとの事で来院されました。口腔内だけを診るとさほど悪くありませんが、バイマックスと言って上下顎前突の状態でした。そこで左上の乳歯と他のところは第一小臼歯(4番目の歯)を抜いてインビザラインにて治していくことにしました。途中でアライナーが合わなくなったので再スキャンを4回(3回目以降5,000円/回)しております。 治療に伴うリスク 一定期間リテーナー(保定装置)をしていないと後戻りの可能性があります。 -
出っ歯・気になるガタガタな歯並びをインビザラインでキレイに
- 治療前

- 治療後

スマイルプラン さくら歯科クリニック
概要を見る詳しくみる担当医 有田 主訴 出っ歯と下の前歯のガタガタが気になる。 期間 約1年間 費用 88万(インビザラインフル) 治療内容 出っ歯と下の前歯のガタガタを気にされて来院されました。インビザラインフルにて改善しました。途中アライナー(マウスピース)が少し適合が甘くなったので再スキャンを1回(無料)しております。 治療に伴うリスク 一定期間リテーナー(保定装置)をしていないと後戻りの可能性があります。 -
前歯の部分的なインビザライン治療
- 治療前

- 治療後

スマイルプラン さくら歯科クリニック
概要を見る詳しくみる担当医 有田 主訴 前歯のガタガタが気になる。 期間 約半年間 費用 44万円 治療内容 上下の前歯のガタガタを気にされて来院されました。インビザラインライトにて改善しました。途中アライナー(マウスピース)が少し適合が甘くなったので再スキャンを1回(無料)しております。 治療に伴うリスク 一定期間リテーナー(保定装置)をしていないと後戻りの可能性があります。 -
前歯の部分的なインビザライン治療
- 治療前

- 治療後

スマイルプラン さくら歯科クリニック
概要を見る詳しくみる担当医 有田 主訴 前歯のガタガタが気になる。 期間 約半年間 費用 44万 治療内容 上下の前歯のガタガタを気にされて来院されました。インビザラインライトにて改善しました。途中アライナー(マウスピース)が少し適合が甘くなったので再スキャンを1回(無料)しております。 治療に伴うリスク 一定期間リテーナー(保定装置)をしていないと後戻りの可能性があります。 -
でこぼこの歯を治したい
- 治療前

- 治療後

スマイルプラン歯科クリニック西宮
概要を見る詳しくみる担当医 池畠 光朗 主訴 でこぼこの歯を治したい
期間 1年6ヶ月 費用 インビザラインコンプリヘンシブ88万円(税込) 治療内容 準備中 治療に伴うリスク 準備中 -
でこぼこの歯を治したい
- 治療前

- 治療後

スマイルプラン歯科クリニック西宮
概要を見る詳しくみる担当医 池畠 光朗 主訴 でこぼこの歯を治したい 期間 1年間 費用 インビザラインコンプリヘンシブ88万円(税込) 治療内容 準備中 治療に伴うリスク 準備中 -
口が閉まらないのを治したい
- 治療前

- 治療後

スマイルプラン歯科クリニック西宮
概要を見る詳しくみる担当医 池畠 光朗 主訴 口が閉じないのを治したい 期間 8ヶ月 費用 440,000円(税込) 治療内容 準備中 治療に伴うリスク 準備中 -
出っ歯を治したい
- 治療前

- 治療後

スマイルプラン歯科クリニック西宮
概要を見る詳しくみる担当医 池畠 光朗 主訴 出っ歯を治したい 期間 8ヶ月 費用 440,000円(税込) 治療内容 準備中 治療に伴うリスク 準備中
-
すきっ歯を治したい
- 治療前

- 治療後

スマイルプラン歯科クリニック西宮
概要を見る詳しくみる担当医 池畠 光朗 主訴 すきっ歯を治したい 期間 1年間 費用 インビザラインiGO 44万円(税込) 治療内容 準備中 治療に伴うリスク 準備中 -
でこぼこの歯を治したい
概要を見る- 治療前

- 治療後

詳しくみる担当医 池畠 光朗 主訴 でこぼこの歯を治したい 期間 1年 費用 インビザラインiGo 44万円(税込) 治療内容 準備中 治療に伴うリスク 準備中 -
でこぼこの歯を治したい
概要を見る- 治療前

- 治療後

詳しくみる担当医 池畠 光朗 主訴 でこぼこの歯を治したい 期間 8ヶ月 費用 インビザラインiGo 44万円(税込) 治療内容 準備中 治療に伴うリスク 準備中